
Get The Best Deal On
All-Inclusive Invisalign
Only $4595 $3995*
Or
$133/Paycheck

(No credit check required)
*Includes a $600
Invisalign
New Patient Coupon



Welcome to Valley Dental
At Valley Dental, we go beyond fixing teeth—we redefine the way you experience dentistry.
Our patients enjoy care that’s advanced, comfortable, and designed for lasting results. With a 4.9-star Google rating and countless testimonials, we’re proud to be the area’s top choice for personalized, trusted dental care.

Meet Your Dentist,
Dr. Pablo Raphael Velazquez
Dr. Pablo Raphael Velazquez is a dedicated general dentist with a strong commitment to patient-centered care and clinical excellence. Originally from the Dominican Republic, Dr. Velazquez earned his Doctor of Dental Surgery (DDS) degree from the Iberoamericana University (UNIBE) School of Dentistry in July 2021.
He further advanced his training through a two-year residency in Advanced Education in General Dentistry (AEGD) at the Cleveland Dental Institute. During this time, he gained extensive experience diagnosing and treating a wide range of dental conditions, refining his skills in comprehensive care, and staying current with evolving dental techniques and technologies.
How Invisalign® Works
Consultation with Dr. Pablo
Custom Treatment Plan
Aligners You’ll Love to Wear
Regular Check-Ups
Smile with Confidence
What Invisalign Can Fix?
Crowded Teeth
Gaps and Spacing
Overbite
Underbite
Crossbite
Open Bite
Take the first step toward a straighter, healthier smile with Invisalign® at Valley Dental
Straighten Better, Finish Faster, and Pay Less!
Payment Options
Cash
Checks
Credit Cards
Flexible Financing Partners:


We participate with all major PPO's






Affordable Dental Care at Valley Dental
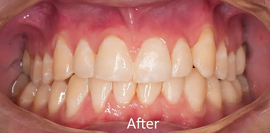
Our Smile Gallery
Before & After





